Content by King Abdullah University of Science & Technology
Filter by
AllArticlesAudioEbooksEventsInfographicsNewsProductsSurveysDocumentsVideosVirtual EventsWebinars
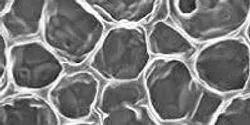
A team from KAUST has proposed a simple method that, in just five minutes, can produce a flexible film with a complex hierarchical structure that has repeating patterns of interconnected, regularly shaped pores
| 2 min read


















